EN | 中文

Teeth Whitening Johor Bahru | JB

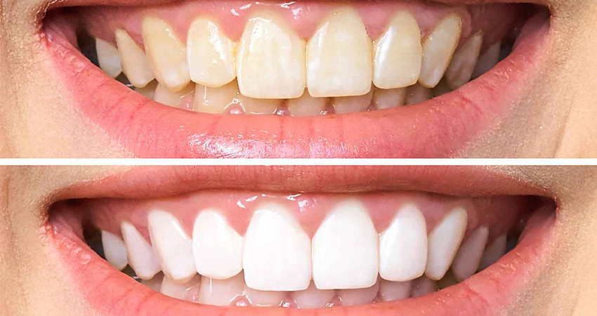
Brighten Your Smile with Safe, Effective Treatments at Asiaa Dental Clinic

A dazzling white smile isn’t just a cosmetic desire — it reflects good oral health, confidence, and vitality. At Asiaa Dental Clinic, we offer professional teeth whitening in Johor Bahru (JB) tailored to your lifestyle, preferences, and dental needs. Whether you're preparing for a special event or simply want to boost your appearance, our clinic provides both Normal Whitening and Express Whitening solutions that are safe, fast, and highly effective.

Our experienced dental team begins every whitening session with a thorough oral evaluation to ensure the treatment is suitable for your teeth and gums. Using clinically approved whitening agents and advanced techniques, we help lift deep stains caused by coffee, tea, tobacco, aging, and more. Whether you choose our Normal Whitening for gradual, long-lasting brightness or Express Whitening for immediate results, you can expect a visibly brighter smile with minimal sensitivity and maximum care.

What is Teeth Whitening?

Teeth whitening is a non-invasive cosmetic dental procedure that lightens the shade of your natural teeth by removing stains and discoloration. Using clinically tested agents like hydrogen peroxide or carbamide peroxide, our treatments penetrate the enamel to break down pigmented molecules, revealing a noticeably whiter smile.

Unlike over-the-counter whitening kits that often deliver uneven or short-lived results, our in-clinic teeth whitening treatments in Johor Bahru are performed under the supervision of experienced and qualified dentists. This professional approach not only enhances the effectiveness of the whitening process but also prioritizes your safety. Our team carefully monitors every step to ensure your gums are shielded, and your tooth enamel remains intact, minimizing the risk of irritation or sensitivity. You’ll leave with a brighter smile and the peace of mind that your dental health is in expert hands.

Types of Teeth Whitening Treatments We Offer

At Asiaa Dental Clinic, we understand that every smile is unique — which is why we offer two distinct types of teeth whitening treatments in Johor Bahru (JB) to suit your lifestyle and desired results. Our Normal Whitening treatment is ideal for patients who prefer a gradual brightening process with longer-lasting effects. This approach uses a clinically approved whitening gel that’s gently activated using advanced LED technology, helping to lighten tooth stains effectively across multiple sessions with visible, safe results.It’s perfect for those who want to lighten deeper stains without rushing the outcome.

For those with a time crunch or looking for instant transformation, our Express Whitening is a fast, effective solution. Completed in a single clinic visit, this treatment uses advanced whitening agents designed to lift surface stains quickly — often within just 30–60 minutes. While results may not be as deep-set as the normal whitening option, it’s an excellent choice for special occasions or last-minute events when you want your smile to look its best with minimal downtime.

Normal Teeth Whitening

Our Normal Whitening treatment is ideal for those who prefer a gentle, progressive enhancement of their smile. It offers long-lasting results by gradually lifting deeper stains over multiple sessions, making it a great choice for individuals seeking a natural-looking transformation without tooth sensitivity.

  • Typically completed in one clinic session

  • Uses a moderate concentration of whitening agent

  • Offers controlled, safe bleaching with minimal sensitivity

  • Ideal for those with mild to moderate stains from coffee, tea, tobacco, or aging

Best For: Regular maintenance, general brightening, first-time whitening patients.

Express Teeth Whitening

Need results fast? Our Express Whitening is specially designed for busy individuals who want to brighten their teeth in just one visit. This high-speed treatment uses advanced whitening technology to lift surface stains effectively within 30 to 60 minutes. It’s perfect for last-minute events, job interviews, weddings, or any special occasion. Despite its speed, it’s safe, gentle on your enamel, and performed by experienced dental professionals. You’ll walk out of our Johor Bahru clinic with a noticeably whiter, fresher smile—instantly.

  • Completed in under 45 minutes to 60 minutes

  • LED-activated high-concentration gel for faster, lasting results.

  • Quick turnaround — perfect before events like weddings or interviews

  • Slightly more intense, but safe under dentist supervision

Best For: Special occasions, instant makeovers, and light surface stains.

Triple-Phase Whitening System

At Asiaa Dental Clinic, we At Asiaa Dental Clinic, we’ve developed a specialized three-step whitening protocol that goes beyond surface stains. This advanced method is designed to penetrate the enamel at multiple levels, breaking down discoloration caused by years of food, drink, or lifestyle habits. Each cycle builds upon the last, delivering a gradual yet striking transformation — leaving you with a noticeably whiter, longer-lasting smile.

  • Targets both surface and deep-set stains

  • Minimizes tooth sensitivity with controlled application

  • Enhances longevity of whitening results with professional precision

Why Choose Professional Whitening Over DIY Kits?

  • Customised Treatments: We evaluate your dental history, enamel condition, and aesthetic goals to recommend the best whitening approach.

  • Safe & Supervised: Administered by licensed dentists with protective measures for gums and sensitive teeth.

  • Faster & More Reliable Results: Immediate and noticeable whitening within a single session.

  • Reduced Risk of Side Effects: Our methods minimize tooth sensitivity and gum irritation.

Common Causes of Tooth Discoloration

Tooth discoloration can occur due to a variety of lifestyle and health-related factors.Regular intake of staining drinks like coffee, tea, and red wine is a leading cause of tooth discoloration. Smoking or chewing tobacco also leads to deep, stubborn stains that are hard to remove with brushing alone. Poor oral hygiene, certain medications, and aging can gradually cause the teeth to lose their natural brightness. Even genetics and excessive fluoride exposure during childhood can contribute to uneven or yellowed tooth shades.Even with good oral hygiene, staining can still occur due to:

  • Consumption of wine, coffee, or dark teas

  • Smoking and tobacco use

  • Pigmented foods like curry and soy sauce can stain teeth.

  • Natural aging and enamel thinning

  • Certain medications (e.g., tetracycline)

What to Expect During Your Whitening Session

When you arrive at Asiaa Dental Clinic for your whitening session, we’ll begin with a detailed consultation to assess your oral health and determine the ideal whitening option. Once you're ready, your gums will be carefully shielded, and a thorough cleaning will be done to prep your teeth. We then apply a high-grade whitening gel, which may be activated with light depending on your chosen method. Throughout the process, our dental professionals ensure your comfort and safety. After the session, we evaluate your new shade and provide guidance on how to maintain your brighter smile.

  • Consultation: During the consultation, we evaluate your dental health and talk about your whitening objectives.

  • Preparation: Gums are protected with a barrier; teeth are cleaned.

  • Whitening Gel Application: The gel is applied and activated (with or without light depending on the method).

  • Final Touch: After the session, we assess the shade improvement and give aftercare advice.

    Total Duration:

  • Normal Whitening: Approx. 45–60 minutes

  • Express Whitening: Approx. 20–30 minutes

Aftercare Tips for Long-Lasting Results

  • Refrain from consuming staining foods and drinks for at least 24 hours after the treatment.

  • Brush with a non-abrasive whitening toothpaste

  • Use a straw for colored drinks

  • Maintain regular dental checkups and cleanings

  • Reduce smoking or quit to prevent yellowing

Is Whitening Safe for Everyone?

Professional whitening is typically safe for most adults and teenagers. However, we do not recommend it if you:

  • Are pregnant or breastfeeding

  • Have active tooth decay or gum disease

  • Have severe enamel erosion

  • Are under 16 years old

Our dental team will perform a full evaluation before proceeding to ensure it’s suitable for you.

Quick Whitening Facts at a Glance

  • Effectiveness: Up to 6–8 shades lighter in one session

  • Time: 30–60 minutes depending on treatment type

  • Comfort Level: Minimal to mild sensitivity

  • Repeatable: Safe to redo every 6–12 months

  • Location: Asiaa Dental Clinic, Johor Bahru

Why Asiaa Dental Clinic for Teeth Whitening?

At our clinic, we pride ourselves on combining clinical precision with aesthetic expertise. Here's why patients trust us:

  • Experienced Cosmetic Dentists

  • Safe, Government-Approved Whitening Agents

  • Modern Equipment & Comfortable Clinic Environment

  • Transparent Pricing & Patient-Centered Approach

Ready to Transform Your Smile?

Achieving a brighter smile can significantly enhance your confidence and overall look. At Asiaa Dental Clinic in Johor Bahru, we specialize in professional teeth whitening treatments designed to fit your goals, schedule, and comfort. Whether you're looking for a gentle enhancement or quick results before a big day, our dental team is here to deliver safe, effective care with personalized attention.

Don't settle for over-the-counter solutions that may damage your enamel or deliver inconsistent outcomes. Choose between our Normal Whitening for a natural, gradual glow or our Express Whitening for immediate brightness in just one visit. Whatever your choice, you can trust our experienced dentists to guide you every step of the way.

Book Your Whitening Consultation Today!

Accepted Cards & Wallets

Go Back Top